专利


ISO
高新技术
logo
微信公众号二维码

关注微信公众号

手机站二维码

前往手机站

订单查询
search-icon

产品分类

科研ELISA 科研人Elisa 科研大鼠Elisa 科研小鼠Elisa 科研仓鼠Elisa 科研兔Elisa 科研猪Elisa 科研其它Elisa 科研鱼Elisa 科研豚鼠Elisa 科研鸡Elisa 科研鸭Elisa 科研猴Elisa 科研牛羊马类Elisa 科研药物残留ELISA 科研植物Elisa
农残及其它检测 酶免试剂盒ELISA竞争法 动物酶免试剂盒ELISA竞争法 镇静剂ELISA竞争法 镇痛药ELISA竞争法 毒素ELISA竞争法 材料助剂ELISA竞争法 生理活性物ELISA竞争法 乳品添加物ELISA竞争法 环境污染物ELISA竞争法 保化添加物ELISA竞争法 水产杀菌剂ELISA竞争法 农药ELISA竞争法 色素ELISA竞争法 抗生素ELISA竞争法 性激素ELISA竞争法 瘦肉精ELISA竞争法 重金属ELISA竞争法 抗病毒ELISA竞争法 防霉剂ELISA竞争法 过敏原/营养抑制因子 其他检测类ELISA竞争法 致病菌ELISA竞争法 其他检测ELISA竞争法 食品加工危害物ELISA竞争法 食品添加剂ELISA竞争法
PCR试剂盒 PCR检测试剂盒 探针法qPCR试剂盒
生化试剂盒 氧化磷酸化系列 植物激素系列 氧化与抗氧化系列 果胶系列 辅酶Ⅱ系列 谷胱甘肽系列 维生素C代谢系列 氮代谢系列 氨基酸代谢系列 酯酶系列 三羧酸循环系列 糖酵解系列 蛋白酶系列 脂肪酸代谢系列 淀粉系列 蔗糖系列 糖代谢系列 P450系列 离子系列 土壤系列 信号系列 其它系列 蛋白含量测定系列 糖异生系列 糖原系列 维生素系列 光合作用系列 辅酶Ⅰ系列 花青素合成系列 乙醛酸循环系列 海藻糖系列
金标检测卡 组织快速检测卡 凉茶快速检测卡 检测卡 蜂蜜快速检测卡 保化快速检测卡 禽蛋快速检测卡 生鲜乳快速检测卡 理化类以及酶试剂 农药残留快速检测卡 粮油谷物饲料快速检测卡 其他非法添加快速检测卡 动物疫病快速检测卡 量子点定量检测卡 食品胶体金检测卡 牛奶抗生素检测卡
技术支持与外包实验 实验外包服务 技术支持 常见问题 脱钙 石蜡包埋 石蜡切片 普通病理染色 免疫组化荧光 切片全景扫描 TUNEL 超微病理 分子病理 荧光微球 抗体制备耗材及仪器 抗体定制服务 亲和柱
动物血清及细胞培养 胎牛血清 其他动物血清 裂解血 小牛血清 新生牛血清 其他同类产品 细胞检测及细胞保护试剂 抗生素及选择性试剂 细胞冻存液 培养基营养添加剂 动物疫苗专用血清 诊断试剂专用血制品 新西兰Bovogen血清
代理品牌 免疫学类 分子学类 生化学类
酶联抗体 一抗 内参抗体 抗体相关支持试剂 标签抗体
二抗 AP标记二抗 Biotin标记二抗 HRP标记二抗 PE标记二抗 荧光标记二抗 其他动物二抗
细胞系 人细胞系 猪细胞系 猴细胞系 小鼠细胞系 大鼠细胞系 其他细胞系
原代细胞 人原代细胞 大鼠原代细胞 小鼠原代细胞 兔原代细胞 猪原代细胞 其他原代细胞 鸡原代细胞
细胞专用培养基 基础培养基 兔细胞专用培养基 人细胞专用培养基 细胞系专用培养基 小鼠细胞专用培养基 大鼠细胞专用培养基 其他细胞专用培养基 LUC细胞专用培养基 永生化细胞专用培养基
完全培养基 完全培养基 人完全培养基 大鼠完全培养基 小鼠完全培养基 其他完全培养基
细胞库 菌株 细胞株 永生化细胞 耐药细胞株 荧光示踪稳株 luc示踪细胞株 细胞冻存液
病理染色液 HE染色 骨组织染色 碳水化合物染色 固定液 结缔组织染色 脱钙液 酶类染色 细胞染色 植物染色 指示剂 其他染色 微生物染色 核酸染色 金属及盐染色 神经染色 脂类染色 色素染色
生化试剂 氨基酸类 蛋白质类 维生素类 缓冲剂类 培养基类 酶类 碳水化合物类 色素类 植物激素及核酸类 表面活性剂类 其他生化试剂 抗生素类 测试盒类 分离材料及耗材类 其它试剂类 石墨烯所有产品 常见生化试剂
标准品/对照品 中药标准品 对照药材 中检所产品 标准溶液 化学标准品 中国计量院
细胞株 人源性细胞株 小鼠源性细胞株 大鼠源性细胞株 酵母菌 大鼠原代细胞 小鼠原代细胞 人原代细胞 兔原代细胞 其他原代细胞 其他源性细胞株
进口国产培养基 美国药典培养基 化妆品检验培养基 大肠杆菌、大肠菌群 金黄色葡萄球菌检验 消毒灭菌效果评价 临床检验用培养基 中华人民共和国药典 欧洲药典(EP) 饮用天然矿泉水检验方法 微生物检验 肠球菌、链球菌 沙门氏菌、志贺氏菌 弧菌 弯曲杆菌 李斯特氏菌 产气荚膜梭菌 阪崎肠杆菌 乳酸菌、双歧杆菌 小肠结肠炎耶尔森氏菌 一次性试管、液体培养基 乳酸菌检验 菌落总数测定、无菌检验 显色培养基 植物组培
酶标仪 酶标仪 洗板机
细胞培养类 细胞株 动物细胞 人细胞类 细胞分离液 细胞系 品牌细胞 ATCC细胞
英国IDS IDS EILSA剂盒
感受态细胞 表达感受态细胞 发根农杆菌感受态细胞 酵母感受态细胞 根癌农杆菌感受态细胞 克隆感受态细胞
农牧食品残留有害检测 保化快速检测系列 便携综合解决方案 非法添加快检系列 劣质油快筛系列 农残留快检系列 兽残疫病快检系列 微生物快检系列 重金属快检系列
其他试剂盒 其他产品
分子生物学试剂 DNA溶液 RNA溶液 蛋白电泳 蛋白其他 核酸电泳 核酸提取 核酸杂交 酶抑制剂 免疫印迹 核酸其他 分子生物学试剂 蛋白提取与检测
标准溶液 标准溶液 滴定液
常规溶液 抗凝剂 其他溶液 药典溶液
细胞生物学试剂 抗生素 佐剂 蛋白类 细胞检测 细胞培养 细胞其他 细胞组分分离
免疫学试剂 免疫学试剂
检测试剂盒 生化检测 酶类检测 植物检测 氧化检测
形态病理检测
科研细胞因子 转化生长因子 白细胞介素因子 肿瘤坏死因子 集落刺激因子 干扰素因子 其他生长因子 神经营养因子 表皮生长因子 胰岛素样生长因子 血管内皮生长因子 血小板衍生生长因子 成纤维细胞生长因子
原料/抗原抗体 进口抗原 进口抗体 塑化剂抗原抗体 重金属抗原抗体 进口抗原抗体 色素类抗原抗体 抗原抗体新版 激素类抗原抗体 其他抗原抗体 瘦肉精类抗原抗体 HRP标记抗原抗体 生理活性物抗原抗体 霉菌毒素类抗原抗体 抗病毒类抗原抗体 生物素标记抗原抗体 FITC标记的抗原抗体 农药残留类抗原抗体 亲和素标记抗原抗体 乳品添加物类抗原抗体 磺胺类抗生素抗原抗体 水产禁用药类抗原抗体 消炎镇痛类抗原抗体 喹诺酮类抗生素抗原抗体 氯霉素类抗生素抗原抗体 四环素类抗生素抗原抗体 动物疫病类抗体及抗原 抗球虫及寄生虫类抗原抗体 氨基糖苷类抗生素抗原抗体 林可胺/大环内酯类抗原抗体 β-内酰胺类抗生素抗原抗体 硝基呋喃类抗生素抗原抗体 动物病毒类真核表达蛋白集 保健品非法添加物抗原抗体 过敏原及抑制因子抗原抗体 碱性磷酸酶标记抗原抗体 抗原类
生化检测类 HPLC试剂盒 核苷酸系列 色素系列 抗生素残留系列 植物黄酮系列 甾醇系列 木质素单体系列 中药成分系列 生物碱系列 生物胺系列 不饱和脂肪酸系列 动物激素系列 花色苷系列 有机酸系列 植物多酚系列
酶联产品
科研ELISA 科研人Elisa 科研大鼠Elisa 科研小鼠Elisa 科研其它Elisa
农残及其它检测 酶免试剂盒ELISA竞争法 动物酶免试剂盒ELISA竞争法 镇静剂ELISA竞争法 镇痛药ELISA竞争法 毒素ELISA竞争法 材料助剂ELISA竞争法 生理活性物ELISA竞争法 乳品添加物ELISA竞争法 环境污染物ELISA竞争法 保化添加物ELISA竞争法 水产杀菌剂ELISA竞争法 农药ELISA竞争法 色素ELISA竞争法 抗生素ELISA竞争法 性激素ELISA竞争法 瘦肉精ELISA竞争法 重金属ELISA竞争法 抗病毒ELISA竞争法 防霉剂ELISA竞争法 过敏原/营养抑制因子 其他检测ELISA竞争法
PCR试剂盒 PCR检测试剂盒 探针法qPCR试剂盒
生化试剂盒 氧化磷酸化系列 植物激素系列 氧化与抗氧化系列 果胶系列 辅酶Ⅱ系列 谷胱甘肽系列 维生素C代谢系列 氮代谢系列 氨基酸代谢系列 酯酶系列 三羧酸循环系列 糖酵解系列 蛋白酶系列 脂肪酸代谢系列 淀粉系列 蔗糖系列 糖代谢系列 P450系列 离子系列 土壤系列 信号系列 其它系列 蛋白含量测定系列 糖异生系列 糖原系列 维生素系列 光合作用系列 辅酶Ⅰ系列 花青素合成系列 乙醛酸循环系列 海藻糖系列
金标检测卡 组织快速检测卡 凉茶快速检测卡 检测卡 蜂蜜快速检测卡 保化快速检测卡 禽蛋快速检测卡 生鲜乳快速检测卡 理化类以及酶试剂 农药残留快速检测卡 粮油谷物饲料快速检测卡 其他非法添加快速检测卡 动物疫病快速检测卡 量子点定量检测卡 食品胶体金检测卡 牛奶抗生素检测卡
技术支持与外包实验 实验外包服务 技术支持 常见问题 脱钙 石蜡包埋 石蜡切片 普通病理染色 免疫组化荧光 切片全景扫描 TUNEL 超微病理 分子病理 荧光微球 抗体制备耗材及仪器 抗体定制服务 亲和柱
酶联抗体 一抗 内参抗体 抗体相关支持试剂 标签抗体
酶标仪 酶标仪 洗板机
其他试剂盒 其他产品
免疫学试剂 免疫学试剂
科研细胞因子 转化生长因子 白细胞介素因子 肿瘤坏死因子 集落刺激因子 干扰素因子 其他生长因子 神经营养因子 表皮生长因子 胰岛素样生长因子 血管内皮生长因子 血小板衍生生长因子 成纤维细胞生长因子
原料/抗原抗体 进口抗原 进口抗体 塑化剂抗原抗体 重金属抗原抗体 进口抗原抗体 色素类抗原抗体 抗原抗体新版 激素类抗原抗体 其他抗原抗体 瘦肉精类抗原抗体 HRP标记抗原抗体 生理活性物抗原抗体 霉菌毒素类抗原抗体 抗病毒类抗原抗体 生物素标记抗原抗体 FITC标记的抗原抗体 农药残留类抗原抗体 亲和素标记抗原抗体 乳品添加物类抗原抗体 磺胺类抗生素抗原抗体 水产禁用药类抗原抗体 消炎镇痛类抗原抗体 喹诺酮类抗生素抗原抗体 氯霉素类抗生素抗原抗体 四环素类抗生素抗原抗体 动物疫病类抗体及抗原 抗球虫及寄生虫类抗原抗体 氨基糖苷类抗生素抗原抗体 林可胺/大环内酯类抗原抗体 β-内酰胺类抗生素抗原抗体 硝基呋喃类抗生素抗原抗体 动物病毒类真核表达蛋白集 保健品非法添加物抗原抗体 过敏原及抑制因子抗原抗体 碱性磷酸酶标记抗原抗体
广告
细胞侵袭服务主图

细胞侵袭服务

prev next

  • 货 号:ml036227
  • 快速询价     QQ:2881505708 免费咨询电话:021-54223675 / 021-54461730
    【友情提示】:产品价格与说明书请点击上面的链接,在线询价,索要说明书;
  • 重要提示:因产品不断更新,官网说明书如与纸质版有出入,请以纸质版为准!

  Matrigel是从小鼠EHS肉瘤中提取的基质成分,含有LN、IV型胶原、接触蛋白和肝素硫酸多糖,铺在无聚乙烯吡硌烷酮的聚碳酸酯滤膜上,能在DMEM培养基中重建形成膜结构,这种膜结构与天然基质膜结构极为相似。滤膜孔径一般为8μm,而且膜孔都被Matrigel覆盖,细胞不能自由穿过,必须分泌水解酶,并通过变形运动才能穿过这种铺有Martrigel的滤膜,这与体内情况较为相似。可通过这种模型来检测细胞的侵袭情况。

 
  通过体外模型来检测细胞的侵袭情况,主要应用于各种细胞因子对恶性肿瘤细胞侵袭和转移的影响及一些抑制血管生成的新药研究。
 
实验步骤:
  1. matrigel在4℃过夜融化
  2. 稀释matrigel至终浓度1mg/ml
  3. 在chamber上室底部中央垂直加入稀释后的matrigel。37℃温育4-5 h
  4. 所有细胞培养试剂和Transwell chamber放在37℃恒温水浴箱温育
  5. 消化培养至对数期的细胞,用无血清培养基悬浮细胞,计数,调整浓度为5*105/ml
  6. 在下室加入含20%血清的培养基。上室加入细胞悬液,37 ℃、5%CO2、饱和湿度条件下继续培养24 h
  7. 取出chamber,吸干上室液体,移到预先加入甲醇的孔中,室温固定30min
  8. 取出chamber,吸干上室固定液,移到预先加入结晶紫染液的孔中,室温染色15-30min;用PBS冲洗浸泡数次,取chamber,先用干棉签将上室内液体吸去,再用棉签轻轻擦Matrigel凝胶和聚碳酯膜上表面的细胞
  9. 揭下膜表面上的细胞,晾干,封片
  10. 显微镜下计数,统计结果;(若不用保存底膜,可省去步骤9)
 
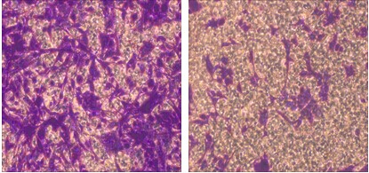
结果示意图:
 细胞侵袭结果示意图
 

  服务周期:

服务内容

说明

价格∕元

实验周期

细胞侵袭

建议3重复

1000/

3个工作日

温馨提醒:

  1. 提供105细胞

  2. 一块板共有24个小室,不足一块板按照一块板收费

酶联生物经过不断的实验优化和改进,积累了大量的经验,拥有专业的酶联研发团队。利用专业的酶联免疫技术自主研发的elisa试剂盒,能对血清及其它样本定量检测抗原,定性检测特异性抗体。优质的试剂,先进的仪器和正确的操作是保证ELISA检测结果准确可靠的必要条件。ELISA检测的方便性、稳定性、重复性和可靠性方面都具有很大的优势。

ELISA检测技术服务内容:
1、双抗体夹心法检测抗原 2、间接法检测抗体 3、为客户提供各种ELISA技术进行样本检测。
elisa代测服务项目
以上代测费,凡购买本公司试剂盒,我们免费代测!
凡购买本公司目录任何一种酶联免疫检测试剂盒,您只需将需要检测的动物(Human, Rat, Mouse, Rabbit, Monkey, Pig……)种类和检测指标(白介素类、激素类)及标本数量(48T/96T)通知公司业务员即可。在接到客户标本当日起,现货产品一周内将检测报告交到客户手中!
欢迎各科研单位在各种项目上与我们公司开展不同层次的密切合作,以双赢求发展,共同进步,为中国检测事业的发展积累经验。

二、样本要求
在收集标本前都必须有一个完整的计划,必须清楚要检测的成份是否足够稳定。我们提倡新鲜标本尽早检测,对收集后当天就进行检测的标本,及时储存在4℃备用,如有特殊原因需要周期收集标本,请造模取材后,将标本及时分装后放在-20℃或-70℃条件下保存。因冰室与室温存在一定温差,蛋白极易降解,直接影响实验质量,所以避免反复冻融。代测放免标本的客户取材前须向我司销售人员索要说明书,具体操作注意事项请与我司技术人员沟通。

液体类标本:标本必须为液体,不含沉淀。包括血清、血浆、尿液、胸腹水、脑脊液、细胞培养上清、组织匀浆等。

血清:室温血液自然凝固10-20分钟后,离心20分钟左右(2000-3000转/分)。收集上清。如有沉淀形成,应再次离心。

血浆:应根据试剂盒的要求选择EDTA、柠檬酸钠或肝素作为抗凝剂,加入10%(v/v)抗凝剂(0.1M柠檬酸钠或1%heparin 或2.0%EDTA.Na2)混合10-20分钟后,离心20分钟左右(2000-3000转/分)。仔细收集上清。如有沉淀形成,应再次离心。

尿液、胸腹水、脑脊液:用无菌管收集。离心20分钟左右(2000-3000转/分)。仔细收集上清。如有沉淀形成,应再次离心。

细胞培养上清:检测分泌性的成份时,用无菌管收集。离心20分钟左右(2000-3000转/分)。仔细收集上清。检测细胞内的成份时,用PBS(PH7.0-7.4)稀释细胞悬液,细胞浓度达到100万/ml左右。通过反复冻融,以使细胞破坏并放出细胞内成份。离心20分钟左右(2000-3000转/分)。仔细收集上清。保存过程中如有沉淀形成,应再次离心。

组织标本:切割标本后,称取重量。加入一定量的PBS,缓冲液中可加入1μg/L蛋白酶抑制剂或50U/ml的Aprotinin(抑肽酶)。用手工或匀浆器将标本匀浆充分。离心20分钟左右(2000-3000转/分)。仔细收集上清置于-20度或-70度保存,如有必要,可以将样品浓缩干燥。分装后一份待检测,其余冷冻备用。

三、寄标本时需注明以下情况:
1、标本编号;2、所测项目;3、是否做复孔;3、联系方式;4、实验后标本是否寄回。

客户须知:
客户应对所提供的材料及信息负责,如因客户提供的材料及信息不准确而引起的实验延误或经济损失由客户承担。

Q:1. how to collect samples and preparation of ELISA?
Performed by ELISA test is generally common clinical samples including blood (finger blood, blood), urine, feces, cerebrospinal fluid, pleural effusion, prostatic fluid, semen, vaginal secretions, which
Some time of sample collection, preservation methods and has certain requirements.
Collection (a) clinical specimens
A, blood samples:Some physiological factors, such as smoking, eating, exercise, mood swings, pregnancy, postural changes in blood can affect certain ingredients, even some of diurnal variation. Therefore, blood samples
Acquisition should avoid interference physiological factors, consistent with appropriate conditions, such as can not be avoided, should indicate the factors on the specimen.
1. Peripheral:Usually select the inside of blood left ring finger, the portion should be no frostbite, inflammation, edema, damage. If the site does not meet the requirements to other parts of the fingers instead. For burn patients, optional leather
Intact skin at the blood. As part of routine blood tests (eg, white blood cell count, sort, etc.) affected by physiological factors fluctuation is too large, when compared to the conditional should be consistent. It relates to the body, blood clotting function
Can test items (such as platelet count, bleeding time or clotting time) testing, we must pay attention to understand whether the patient used anticoagulant, procoagulant drugs in order to reduce or avoid interfering factors
influences.
2. Blood:In addition to involving a variety of projects such as hemostasis and thrombosis detector requires the use of anticoagulated blood plasma, the current analysis to detect the vast majority of projects can be directly detected using blood serum. In the serum test items
, Some (such as blood sugar, blood fat) diet and circadian factors influenced, fasting blood samples were generally appropriate; some decay rapidly in the blood (serum enzyme activity assay such as ACP activity, etc.),
0 ~ 4 ℃ storage is not an activity decreased, the detection of these projects must be timely and fast; some (such as creatine kinase) influenced by exercise and other factors. Avoid hemolysis occurs when blood is also important
And, more particularly potassium, LDH and other measurement.
B, urine samples:With the same blood samples, urine samples affect diet, exercise, medication and other factors that are also large, especially on the diet, so the morning urine generally superior to random urine. Means getting up early morning urine
After the first urine specimens, representing concentrated and acidified visible components (such as blood cells, epithelial cells, tubular) easy to observe the relative concentration. Random urine that is a random urine specimens convenient, but by diet,
Sports, and even more the influence of drugs, prone to false positive and false negative results, such as diet proteinuria, glucosuria diet, vitamin C interference occult blood results and the like. Postprandial urine (patient 2 hours after lunch, collected
Human Urine) suitable for urine, urine protein and urobilinogen check urine samples at this time to increase the sensitivity of the test, the detection of minor lesions. 12 hours in urine cell count is Addis count (last night 8:00
After emptying the bladder to all specimens of urine 8 o'clock the next morning), because a long time, easy to breed bacteria shall be added preservative formaldehyde. 24-hour urine (the first day of the morning after emptying the bladder specimens from 8:00 to 8:00 the next morning
All urine) quantification of chemical substances, including proteins, sugars, urinary 17-one, 17-hydroxy steroids, catecholamines, Ca2 +, etc., to detect different substances, choose a different preservative preservative. clean
Urine used for urine bacterial culture requires sterile specimens were taken after washing the vulva. Urine specimens should be enough to collect all, at least 12 ml, preferably 50 ml, the timing must collect all the urine of women
Patients should avoid vaginal secretions, blood contamination of urine specimens.
C, stool samples:Stool samples for the detection judgment digestive diseases has important reference value. Collection requirements with a clean bamboo select faecal mucus, pus and blood components and other abnormality, no abnormal appearance
Droppings shall be drawn from multiple surface and deep manure end. Get parasitemia and for egg counts should be collected 24 hours feces. Dysentery amoeba trophozoites check should immediately check in after a bowel movement, and from there sepsis
Softer at the drawn, insulation inspection. Charles S. japonicum eggs should take mucus, pus and blood portion 30g stool specimens from at least miracidia hatching, and to be treated as soon as possible. Check pinworm eggs must use transparent film swab
Night before 12:00 or early in the morning from defecation wrinkled folds around the anus and immediately swabbing at microscopic examination. Occult blood test (chemistry), fasting before the test on the 3rd of meat and foods containing animal blood and ban clothing iron, vitamin C and so on.
Should be checked in all 1 hour stool specimen collection is completed, in order to prevent damage to physical components of digestive enzymes and pH by. For clinical samples above the detection indicators.
D, CSF samples:CSF samples collected immediately after submission, place too long will affect the test results: such as cell degeneration, destruction, leading to counting and classification are not allowed; some chemicals such as glucose content will decompose Save
Less; bacteria occur autolysis affect bacteria detection rate. Cerebrospinal fluid extracted three general dispensing a sterile tube, the first tube for bacterial culture, a second tube for chemical analysis and immunological tests, the third tube for general
Characters and microscopic examination, three of the order should be reversed. Specimen collection is difficult because all inspection and testing process should pay attention to safety.
E, ascites and pleural effusion samples:CSF samples with the same attention to safety after the specimen collection, and timely submission. Generally separated into three tubes, one for routine cytology, a biochemical examination, a bacterial culture, in order
CSF same is appropriate.
F, prostatic fluid sample:Prostatic fluid specimen after prostate massage by the acquisition, directly drop when less liquid on a glass slide and timely submission shall be taken to prevent sample evaporation to dryness, the amount collected for a long time in a clean, dry test tube. If massage
No prostatic fluid, urine sediment can be checked after the massage.
G, semen samples:Abstinence before semen collection should be 3 to 7 days, drain the urine after masturbation or other available methods of semen directly into clean containers, insulation and timely submission. Due to changes in sperm production during the day and
Large, generally should be checked 2 to 3 times (each time interval of 1 to 2 weeks) in order to make a diagnosis.
H, samples of vaginal secretions:Vaginal samples were collected 24 hours before intercourse should be prohibited, bath, vaginal examination, vaginal lavage and local on the drug, etc., drawing instruments used need to be cleaned. Usually with brine-soaked cotton swab from the vagina deep
Or rear vaginal fornix, cervical canal mouth drawn, etc., made after saline smear vaginal secretion samples observation, women with menstrual vaginal secretions were not checking.
2, do before each sample by ELISA experiment how to prepare?
Before collecting the sample must have a comprehensive plan must clearly be detected component is stable enough. To be collected on the same day Sample testing, and timely backup stored at 4 ℃. For the next day re-testing samples frozen in a timely manner after dispensing -20 ℃ spare, conditional, preferably -70 ℃ cryopreservation standby. Avoid repeated freezing and thawing specimens
. Liquid samples: including serum, plasma, urine, pleural effusion, cerebrospinal fluid, cell culture supernatant and the like.
1. serum:
Coagulation at room temperature 10-20 mins, centrifugation 20 minutes or so (2000-3000 rev / min). Carefully collect the supernatant. If precipitation during storage, Centrifugal again.
2. Plasma:
EDTA should be selected according to the requirements of the specimen, sodium citrate or heparin as an anticoagulant, mix 10-20 mins, centrifugation 20 minutes or so (2000-3000 rev / min). Carefully collect the supernatant. Save process
If precipitation appeared, Centrifugal again.
3. Urine:
Sterile collection tube. Centrifuged for 20 minutes or so (2000-3000 rev / min). Carefully collect the supernatant. If precipitation during storage, Centrifugal again. Pleural and peritoneal effusions, and cerebrospinal fluid Reference to this practice. 4. The cell culture supernatant:
The detection of secretory component with a sterile collection tube. Centrifuged for 20 minutes or so (2000-3000 rev / min). Carefully collect the supernatant.
5. cultured cells
????When the detection of intracellular components, diluted with PBS (PH7.2-7.4) cell suspension, the cell concentration reached 1 million / ml or so. By repeated freezing and thawing or tissue protein extraction reagent was added to the cells
Damage and release of intracellular components. Centrifuged for 20 minutes or so (2000-3000 rev / min). Carefully collect the supernatant. If precipitation during storage, Centrifugal again.
6. tissues
????After cutting samples, check the weight. Adding a certain amount of PBS, PH7.4. Rapidly frozen with liquid nitrogen. After thawing samples remained at 2-8 ℃. Adding a certain amount of PBS
(PH7.4), or tissue protein extraction reagent, or by hand homogenizer homogenized sample. Centrifuged for 20 minutes or so (2000-3000 rev / min). Carefully collect the supernatant. A new package to be detected, which
I alternate freezing.
Q:Do I have to run all of my standards and samples in duplicate?
A:Yes, the duplicates are run in order to monitor assay precision and increase confidence in the assay results obtained.
Q:Do I have to run all of my samples at one time?
A:No, each kit uses stripwell microplate. This allows the user to analyse different numbers of samples at different times.
Q:What types of reproducible results are obtained with the assays?
A:Each kit comes with a manual containing a graph of typical data obtained. Any variation in operator, pipetting and washing technique, incubation time or temperature, and kit age can cause variation in result. Each user should obtain their own standard curve.
Q:Is it possible to store the reagents other than indicated?
A:Storage of the kit components under conditions other than indicated is not recommended in order to assure proper performance of the test.
Q:How should I store my samples?
A:Samples should be stored at -20oC or lower temperature. For long-term storage, it is recommended to freeze them at -70oC -80oC.
Q:Can I modify the protocol?
A:BG ELISA kits have been optimized to provide the best possible results. Modifying the format or protocol may give inaccurate and wrong results.
Q:Can I use a sample type that is not recommended in the kit insert?
A:The kit has been validated for the sample types listed in the kit insert. Sample types other than those validated have not been tested. Contact Technical Service for further information.
Q:My samples generated values that were outside the dynamic range of the assay. Can I use these values?
A:It is recommended that only sample values that fall within the range of the standard curve be used. Values outside the range of the standard curve are generally non-linear, which can lead to incorrectly extrapolated values. Samples that generate values higher than the highest standard should be (further) diluted and the assay repeated. If samples fall below the range of the assay, the sample is considered to be non-detectable.
Q:Do I have to run a Blank or Zero Standards every time?
A:Yes, these are required for the calculations, and reflect any subtle but significant performance changes from day to day and assay to assay. They are also extremely helpful when troubleshooting the source of a particular assay problem.
Q:Can I alter the volume of sample I use in the assay?
A:It is not recommended that you alter the volumes since all BG kits are designed for optimal performance at the given volumes
Q:Can components from different kits be used?
A:Each kit contains components which have specific lot numbers to ensure that all of the components are performing optimally alone, as well as with all of the other components in the kit. QC testing is performed on these specific lots. It is never recommended to use your own components or components from other kits or vendors.
Q:My standard curve looked fine, but I didn’t get a signal in my sample when I expected to, why?
A:The sample may not contain the analyte. A matrix effect may be masking the detection. Ensure that the recommended dilution was followed as stated in the kit insert. If dilution was recommended, check to be sure that the dilution was performed properly. Over-dilution may cause the sample to fall below the range of the standard curve.
Q:How do you recommend I wash my plate?
A:If you are using an automated plate washer we recommend that the calibration be checked on a regular basis, and that the system is flushed with the Plate Washing Buffer prior to washing. The same is true for a manual washer. A repeater or a wash bottle can also be used. The user should be careful to ensure that all of the contents are aspirated and the plate tapped dry on lint-free paper.
Q:Do I need to use a plate shaker?
A:Reliable results can be obtained without a plate shaker, but the O.D.'s will generally be lower than those obtained using a plate shaker.
Q:Why do I have to use wavelength correction between 450-570nm?
A:For the ELISA assay, reading at dual wavelengths is done to correct for the optical density contributed by the plastic well, the lamp and optical fluctuations.
Q:If I extract my sample, do I still need to follow the recommended dilutions given in the kit insert?
A:The amount of sample dilution needed after an extraction procedure will be affected by the effects of purification and concentration in the protocol used. The amount of dilution or concentration will have to be determined by the end-user.
Q:What is the expected concentration of analyte that I should expect to find?
A:The amount of a given analyte may vary not only from species-to-species, but also between tissue and cellular sources. The best source of this information is the current literature that is easily accessed through the Internet at multiple scientific databases.
Q:My optical densities were a little higher (or lower) than those in the manual that came with my kit. Why?
A:The optical density is affected by a number of physical conditions such as time and temperature. We suggest that you shorten or lengthen the final incubation with substrate solution to compensate.
Q:What are the reasons for High Background?
A:1) Improper Washing: Check volume of washing buffer reservoir and make sure all recommended washing steps are performed. 2) Contaminated Substrate: Make sure there is no contamination of the substrate with metal ions or oxidizing reagents, before use. Keep the extra substrate solution separately during the ELISA substrate development time. 3) Substrate exposed to light: Exposure to light may result in a blue color of the substrate. Keep solutions in the dark (vial) until ready to dispense into the plate. 4) Wrong Incubation Times/Temperatures: Generally follow the test protocol regarding incubation times and temperatures. However, if all wells are intensely and equally colored with no intensity gradient observed in the standard dilution series, then it may be necessary to observe the substrate reaction as the color is developing, in order to stop the reaction sooner.